Conheça sobre Pâncreas

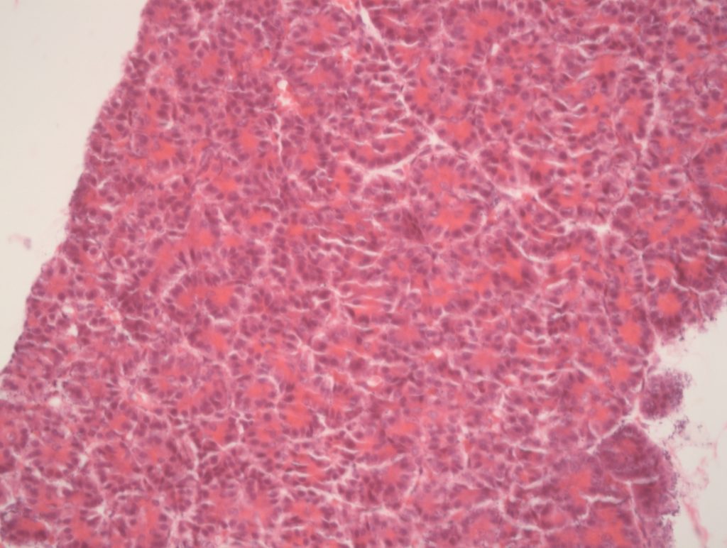
Mostra as glândulas tubuloalveolares e o tecido fibromuscular que forma os septos entre o tecido glandular

Pâncreas - Aumento 10x

Pâncreas

• É uma glândula endócrina e exócrina.

• É um conjunto de 30 a 50 glândulas tubuloalveolares ramificadas que envolvem uma porção da uretra denominada uretra prostática.

• É dividida em três regiões: zona central, zona de transição e zona periférica.

• Sua principal função é secretar um líquido claro e ligeiramente alcalino (pH de 7,29), que contribui para a formação do líquido seminal.

Pâncreas

• É uma glândula endócrina e exócrina.

• É um conjunto de 30 a 50 glândulas tubuloalveolares ramificadas que envolvem uma porção da uretra denominada uretra prostática.

• É dividida em três regiões: zona central, zona de transição e zona periférica.

• Sua principal função é secretar um líquido claro e ligeiramente alcalino (pH de 7,29), que contribui para a formação do líquido seminal.

Mostra as glândulas tubuloalveolares e o tecido fibromuscular que forma os septos entre o tecido glandular

Pâncreas - Aumento 20x

Mostra as glândulas tubuloalveolares e o tecido fibromuscular que forma os septos entre o tecido glandular

Pâncreas - Aumento 40x

Pâncreas

• É uma glândula endócrina e exócrina.

• É um conjunto de 30 a 50 glândulas tubuloalveolares ramificadas que envolvem uma porção da uretra denominada uretra prostática.

• É dividida em três regiões: zona central, zona de transição e zona periférica.

• Sua principal função é secretar um líquido claro e ligeiramente alcalino (pH de 7,29), que contribui para a formação do líquido seminal.

Pâncreas

• É uma glândula endócrina e exócrina.

• É um conjunto de 30 a 50 glândulas tubuloalveolares ramificadas que envolvem uma porção da uretra denominada uretra prostática.

• É dividida em três regiões: zona central, zona de transição e zona periférica.

• Sua principal função é secretar um líquido claro e ligeiramente alcalino (pH de 7,29), que contribui para a formação do líquido seminal.

Mostra as glândulas tubuloalveolares e o tecido fibromuscular que forma os septos entre o tecido glandular

Pâncreas - Aumento 40x

Pesquise em Nosso Site