Conheça sobre Tuba Uterina

Ou Trompas de falópios, são o local de fertilização e início da clivagem do zigoto (óvulo fertilizado ou ovo). Elas são um par de estruturas tubulares que se estendem de cada lado do terminal superior do corpo do útero até os ovários, onde apresentam um terminal aberto dilatado (óstio abdominal) para a entrada do oócito na ovulação;

São revestidas por um epitélio simples cilíndrico que, sob influência hormonal, passa por alterações cíclicas. A altura das células epiteliais aumenta no meio do ciclo e diminui durante o período pré-menstrual. Do mesmo modo, que a proporção entre células ciliadas e não ciliadas aumenta durante a fase folicular do ciclo ovariano. Pois, as Células ciliadas, ficam com cílios mais altos (ciliogênese) e aumentam a taxa de batimento ciliar durante a foliculogênese, quando a produção de estrógenos está aumentando. Em contrapartida durante a luteólise, as células ciliadas perdem seus cílios (deciliação);

Vale ressaltar que, tanto a contração peristáltica da camada muscular – que possui uma camada interna circular em espiral e uma camada externa longitudinal – quanto a atividade ciliar das células epiteliais de revestimento impulsionam o ovo fertilizado/zigoto em direção ao útero.

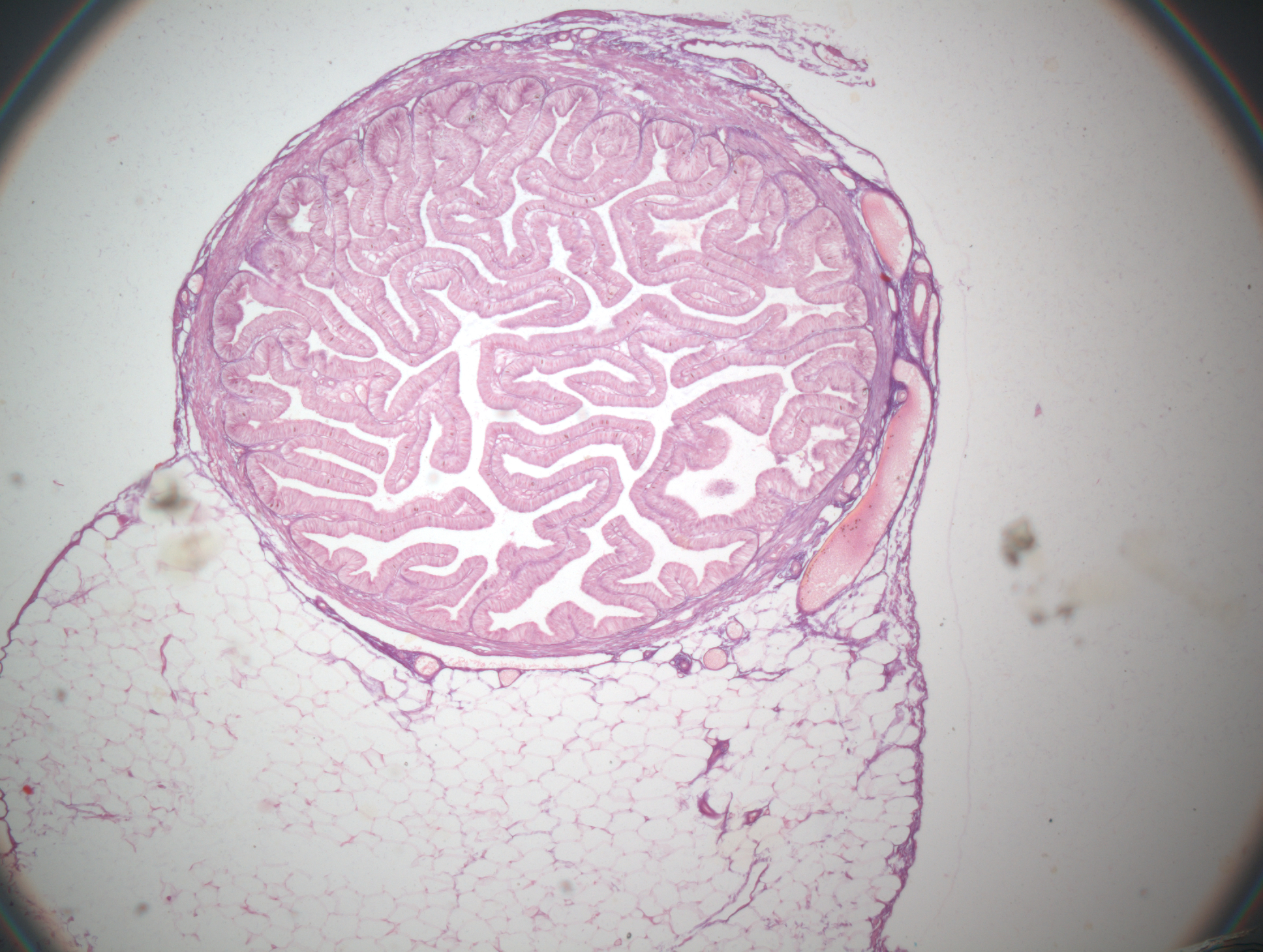
Mucosa

Camada Muscular

Camada Serosa

Tuba Uterina - 5x. Fonte: Acervo UFRR (2021)

  • A mucosa da tuba uterina que exibe pregas longitudinais relativamente finas, que se projetam em direção ao lúmen, com seu epitélio apoiado em uma lâmina própria que consiste de tecido conjuntivo frouxo e algumas células do musculo liso espalhadas.
  • A Camada Muscular que é composta pelas camadas circular interna e longitudinal externa de músculo liso. As camadas não são claramente delimitadas e nenhum limite claro as separa;
  • A Camada Serosa que é parte do ligamento largo peritoneal do útero, cobre externamente a tuba uterina. Os ramos tubários das artérias e veias uterinas que trafegam ao longo da tuba uterina.
  • As pregas da mucosa projetam-se para o lúmen. O lúmen que demonstra ser bastante irregular devido a variedade de tamanhos da prega da mucosa;
  • A muscular consiste em músculo liso, que forma uma camada relativamente espessa de fibras circulares, e uma camada externa, mais fina, de fibras longitudinais
  • A camada mais externa da tuba uterina é formada pelo peritônio do ligamento largo, que possui todas as características de uma serosa.

Pregas da Mucosa

Lúmen

Camada muscular

Peritônio

Tuba Uterina - 10x. Fonte: Acervo UFRR (2021)

Epoóforo

Epitélio Simples Cilíndrico 

Tuba uterina - 40x. Fonte: Acervo UFRR (2021)

  • Epoóforo resquício do ducto mesonéfrico (ducto wolffiano), está adjacente à tuba uterina e costuma ser encontrado próximo ao local de união do ligamento largo à tuba uterina;
  • Com mais clareza é possível visualizar o epitélio simples cilíndrico revestindo a prega mucosa e alguns dos seus núcleos.

Pesquise em Nosso Site